20岁小伙查出“白肺”
居然因为错误使用了
一个备受欢迎的“网红产品”
或许你家也有!
一个误吸
20岁小伙查出“白肺”
据新湖南客户端报道,日前,20岁的长沙小伙李林(化名)在外出前使用了防晒喷雾,在对着面部喷洒时一不小心误吸,随即出现胸闷、咳嗽的症状。症状一直持续到第二天仍未好转,他急忙来到湖南省长沙市第三医院就诊。
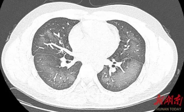
经检查,肺部CT片显示,李林双肺赫然呈现大范围白色样病变,报告提示“白肺”。

只是喷个防晒喷雾
肺部怎么就受损了
“白肺”:一般是指重症肺炎在X线或CT检查下的表现,患者肺部呈现一大片的白色状态,往往会出现呼吸困难、呼吸衰竭,严重者还会出现其他脏器功能障碍。
“白肺”常见于高龄(65岁以上)、免疫力低下、有重要器官慢性病史(如心脏病、中风史、慢性肾脏病、慢性阻塞性肺疾病等)、有多种疾病并存(比如既有高血压、糖尿病,又有心脏病、肺病、肾功能不全)等人群。
长沙市第三医院放射影像科的接诊医师表示,除了感染、弥漫性肺泡出血综合征等“白肺”最常见的病因外,吸入有害物质如粉尘、喷雾等,也可导致肺部出现大范围白色样病变。这位年轻的患者就是因为使用不当,吸入了一部分防晒产品进入肺部,导致“白肺”的发生。急诊医生给予吸氧、化痰、抗感染等相关治疗后,李林症状得到明显改善。
关于防晒喷雾
很多明星的示范都有安全隐患
防晒喷雾因其使用方法简单,受到不少人的青睐,其中包括许多知名艺人。明星的“加持”也助推了防晒喷雾的大火,但很多人的示范存在一定的安全隐患。
在许多节目中,艺人们拿着防晒喷雾朝脸上一顿狂喷,似乎这样就能达到更好的防晒效果。在某个美妆节目上,演员宋轶曾表示一个多月的时间,能够用掉30瓶防晒喷雾。


实际上,这样大剂量地喷洒防晒喷雾,除了会带来误吸的风险,还有可能发生“引火上身”的事故。2022年,沈阳一位爸爸出门前给孩子喷防晒喷雾,因为没留意孩子在玩打火机,防晒喷雾秒变“喷火枪”,瞬间发生爆燃,火焰包围孩子整个脸部,场面非常吓人。经过检查治疗,所幸孩子无大碍,只是皮肤轻度烧伤。

消防员也曾进行实验:用鸡腿模拟人的皮肤,在喷上防晒喷雾约5秒后,拿出点火器点火,此时鸡腿突然着火,还伴有滋滋的声响。

消防部门介绍,市面上的防晒喷雾等防晒产品成分里面都含有变性乙醇、丁烷、异丁烷等可燃物,遇到火就会燃烧。当人的皮肤上大量涂抹这种防晒喷雾时,遇到明火便会着火。
防晒喷雾
这样使用才安全!
1.选用温和无刺激、适合自己肤质的产品。如果对酒精不耐受,不要选用含有酒精的防晒喷雾。
2.使用防晒喷雾时应当注意适量原则,喷洒时尽量遮住口鼻,不建议直接对着面部喷洒。
3.使用防晒喷雾时主要喷洒在身体部位,使用时与皮肤至少保持15~20厘米的距离。使用于面部和颈部时,请先喷洒在手上,然后用手均匀涂抹。若不慎入眼,要立即用水清洗;如有不适要暂停使用。
4.不要在肌肤伤口、红肿或湿疹等有异常的部位使用防晒喷雾。
5.不要在同一个身体部位近距离(如10厘米内)连续喷射超过3秒,防晒喷雾中的推进剂喷出后会迅速挥发吸热,长时间或者近距离使用可能会冻伤皮肤。
6.不要在卫生间、车内等狭小密闭不通风空间内使用,喷洒时要注意通风,使用时紧闭口鼻,勿刻意吸气,避免大量吸入喷雾。
7.应放在儿童接触不到的地方,儿童应在成人监护下使用防晒喷雾。建议给儿童选择配方温和、标识有儿童化妆品标志“小金盾”的防晒产品。
8.防晒喷雾中通常含有易燃物质,请存放在阴凉干燥通风环境中,避免阳光直晒。使用时应远离火源、热源、静电,不得撞击产品,不得将产品或使用完的空罐刺穿或投入火中。
最后还要提醒爱美的你
在使用防晒产品后,
若出现过敏或其他身体不适时,
应立即停止使用
并及时前往医院就诊!